Empresas & Management

¿Qué sabemos actualmente sobre los efectos del SARS-CoV-2 en el cerebro?

Al menos 10% de las personas que sobrevivieron al COVID presentan problemas de pérdida de memoria y de concentración, dice Ricardo Hernández, de la Universidad de Duke.

2021-06-22

Por El Financiero (México)

Cada vez hay más pruebas de que el COVID-19 afecta el cerebro. Incluso podría generar Alzheimer, Parkinson u otros padecimientos, afirma Ricardo Hernández Martínez, de la Universidad de Duke y egresado de la Universidad Nacional Autónoma de México (UNAM).

El experto afirma que al menos 10% de las personas que sobrevivieron a la enfermedad presentan problemas de pérdida de memoria y de concentración, además de altos niveles de ansiedad, lo que puede estar relacionado con la presencia del SARS-CoV-2 en el cerebro.

Estudios de 2020 y 2021 revelan que cuando el virus ataca el sistema nervioso central tiene la capacidad de adherirse a las células nerviosas y a las neuronas, ocasionando lo que se conoce como isquemia cerebral o hemorragias cerebrales, detalló al participar en el Club de Neurociencias, de la Facultad de Psicología de la UNAM.

El doctor en Neurociencias recordó que el virus SARS-CoV-2 entra al cuerpo a través de nariz, boca, ojos y después se aferra a las células en las vías aéreas que producen una proteína llamada ACE2, a la cual se acopla para invadirlas.

Infecta la célula al fusionar su membrana grasosa con la membrana del anfitrión y una vez dentro libera un fragmento de material genético y se apodera de la maquinaria celular para comenzar la fabricación de millones copias del coronavirus; posteriormente, cuando muere, se propaga hacia otras células.

Descargue nuestra edición impresa: Con solo click acá

"Se han hecho asociaciones y se cree que existen dos formas en que el virus llega al cerebro. Una es a través del bulbo olfatorio, en la parte superior de la nariz que está en contacto con ramificaciones de las neuronas. La otra vía es la barrera hematoencefálica, es decir, a través del líquido cefalorraquídeo, a través de la sangre que lleva todos los nutrientes al cerebro", precisó el especialista en Ciencias Biomédicas.

Detalló que estudios en el mundo utilizaron organoides del cerebro, creados a partir de células pluripotentes las cuales tienen la capacidad de producir un organismo completo. "Lo que se hizo fue infectarlos con el bicho donde se mostró que sí afecta el COVID al cerebro y a las 96 horas ya es evidente el daño a las células, según reportan Eric Song y Ce Zhang, este 2021", ambos investigadores de la Universidad de Yale, comentó Hernández Martínez.

En 2020, continuó, este mismo equipo de expertos realizó un estudio en ratones que no producen la proteína ACE2 y cuando se les introdujo en la nariz, se encontró el virus en los pulmones, pero cuando se les insertó en el corazón afectó el sistema nervioso central, lo que podría explicar la pérdida de olfato y gusto observada en 40 a 60 por ciento de los pacientes con COVID-19.

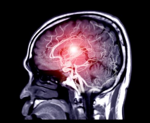
El especialista expuso que otro trabajo, efectuado por Mukesh Kumar, de la Universidad del estado de Georgia, y publicado recientemente en la revista Virology, revisó la presencia de infartos cerebrales mediante resonancia magnética y tomografía computarizada, donde se aprecian manchas negras en el cerebro de los pacientes, inclusive en cortes cerebrales de quienes fallecieron se muestran los infartos cerebrales hemorrágicos.

"Como ya se ha dicho desde hace tiempo, los infartos cerebrales tienen dos causas principales: la primera es una hemorragia por la ruptura de vasos sanguíneos (infarto hemorrágico); y la otra es por la falta de oxígeno, un proceso que se le llama anoxia, debido a la obstrucción por un coágulo (infarto isquémico)", precisó.

Los resultados de Kumar fueron reforzados por un estudio del Departamento de Neurología y Patología del Hospital General de Massachusetts y la Escuela de Medicina de Harvard, donde hicieron cortes al cerebro de fallecidos por el COVID-19, encontrándose nódulos calcificados, evidencias de hemorragias y neuronas hipóxicas.

Tras enfatizar que esto no ocurre en todos los casos, el científico mexicano comentó que especialistas estiman que los problemas se presentarían aproximadamente en 10 por ciento de los pacientes, pero son una explicación de por qué algunas personas que superaron la enfermedad presentan pérdida de memoria, problemas de concentración y altos niveles de ansiedad.

"¿Cómo se nota esto? El paciente X trabaja como administrador de empresas y tiene múltiples responsabilidades. Después de padecer COVID y recuperarse al 100 por ciento se ha comenzado a aferrar a palabras simples, olvida eventos y conversaciones si no los escribe, se despista con más facilidad o pierde la atención rápidamente", ejemplificó Hernández Martínez.

Lo anterior se puede deber a hipoxia que pudieron sufrir durante la infección por COVID-19. Parece ser que el daño está relacionado en estructuras especializadas, en neuronas, con lo que se está viendo y son similares a los presentados en pacientes con apnea del sueño, destacó.

Dejó en claro que se desconoce el efecto a largo plazo del SARS-CoV-2 en el cerebro, debido al tiempo que lleva la pandemia. Añadió que también se encontró que las conexiones entre las redes neuronales cambian, con una disminución en las conexiones de diferentes zonas del cerebro, lo que apoya la teoría de que esto se relaciona con el desarrollo de ansiedad y trastorno postraumático.

12 ejemplares al año por $75

SUSCRIBIRSE